Dr. Anthony Gragg
Prosthodontist
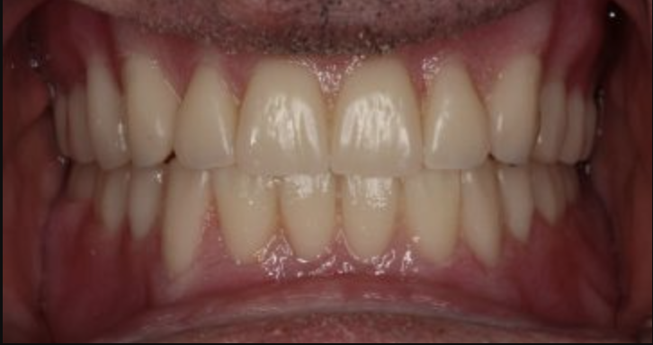
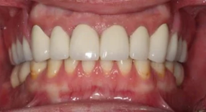
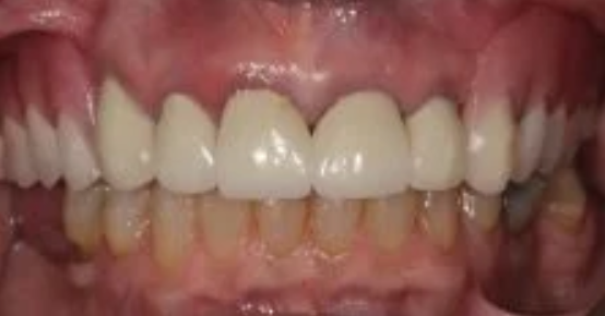
A complete denture gives a person a full set of teeth.
The prosthetic teeth are made of plastic, porcelain, or a combination of both materials.
Patients can elect to wear either removable dentures or fixed dentures (anchored):

Dentures do wear over time and will eventually need to be replaced or “relined” in order to keep the jaw alignment normal. Relined means updating the alignment of the denture. It’s necessary because your jaw bone and gum ridges slowly shrink from not having teeth in place (although dental implants can help keep your bone in place). Regular dental examinations are still important for the denture wearer so that your jaw bone and gum ridges can be checked for change or disease.
Denture examples for Male & Female Patients
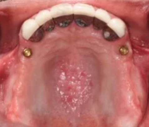
Want your teeth to stay in place, but still have a removable denture?
A type of denture that is removable but secured with implants is called an overdenture. Meaning, they are a denture that “goes over” implants and snap-in for a more secure fit than a normal removable denture. People like how they can be removed, so they are easier to clean, but still feel more secure.
The main advantage of overdentures is to allow teeth to look natural by removing the metal clasps or hooks that are often part of removable dentures (they snap-in to the dental implants to stay in place with no metal clasps).
Also, it may be possible to eliminate the need for covering the roof of the mouth with a complete denture, depending upon the number of implants that are required. This would allow you to fully taste food along with a better sense of its temperature, and will feel much more natural as your tongue can rub the roof of your mouth. You can see examples of this below…
EXAMPLE 1
EXAMPLE 2
EXAMPLE 3
EXAMPLE 1
EXAMPLE 2

Come into our office to discuss if Removable Dentures is the right treatment for your unique situation.