Dr. Anthony Gragg
Prosthodontist
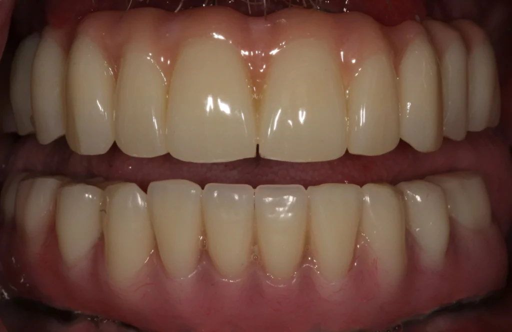
Be able to chew and smile are important reasons for wearing a bridge, which also provides support for the lips and cheeks to speak clearly.Also, when teeth are missing, dental problems can occur such as the patients’ bite shifting. So, a dental bridge can help avoid the risk of fracturing the remaining teeth.
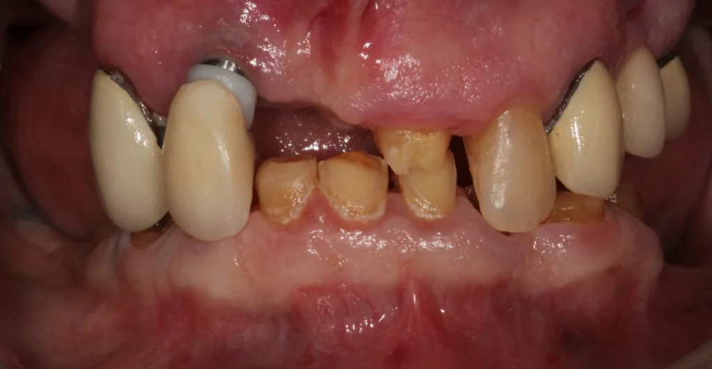
A dental bridge is a replacement for a missing tooth and is anchored to either the patient’s natural teeth, dental crowns, or implants. Dental bridges can also replace multiple missing teeth. They literally “bridge” the gap created by one or more missing teeth.
Note that you may not need a bridge if you simply need a single tooth dental implant. However, if a dental bridge is right for you, using state-of-the-art materials we can make dental bridges feel and look completely natural.

The most common bridge. With a traditional bridge you have a crown on either side with false tooth in middle.
The drawback of a this approach is you have to remove some of the adjacent teeth (unless you want to have a fixed implant bridge).
An implant-retained crown on either side with false tooth in middle.
A Fixed Implant Bridge is a good option if you don’t want to change the good teeth around your missing tooth. You can see an example of this at the top of this page.
A popular option if you’re missing all your teeth or have periodontal disease and need to have your teeth removed.
To learn more, see the article on Fixed Full Arch Implant Bridge (All-on-4)
The Maryland Bridge, named after its place of development at the University of Maryland, is where metal or porcelain wings are bonded to existing teeth.
This option can be used to replace a missing front tooth without compromising the adjacent teeth.
Usually, patients who want a Maryland Bridge are either not eligible for dental implants or they have chosen not to have implant placement.

Come into our office to discuss if Dental Bridges is the right treatment for your unique situation.