Dr. Anthony Gragg
Prosthodontist
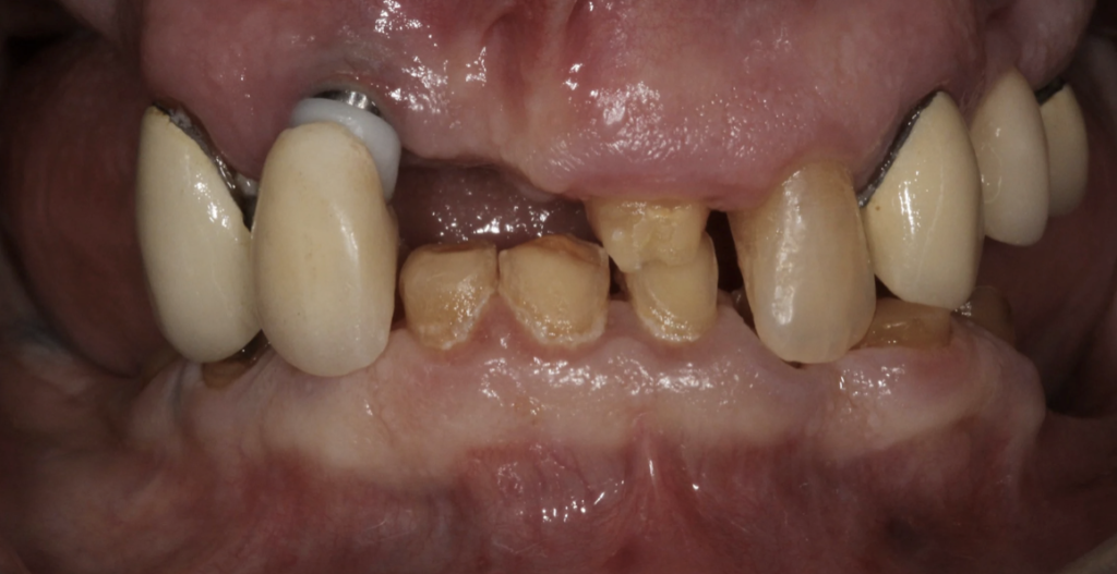
Not having teeth makes life difficult. Not being able to eat the foods you want, smile in public, or losing confidence at the workplace or in romantic relationships takes a toll emotionally.
Often people come to our office not knowing what to do to get their smile and life back.
We can give you new teeth with removable dentures, but most of our patients want fixed dentures.
Fixed dentures go by a lot of names, including:

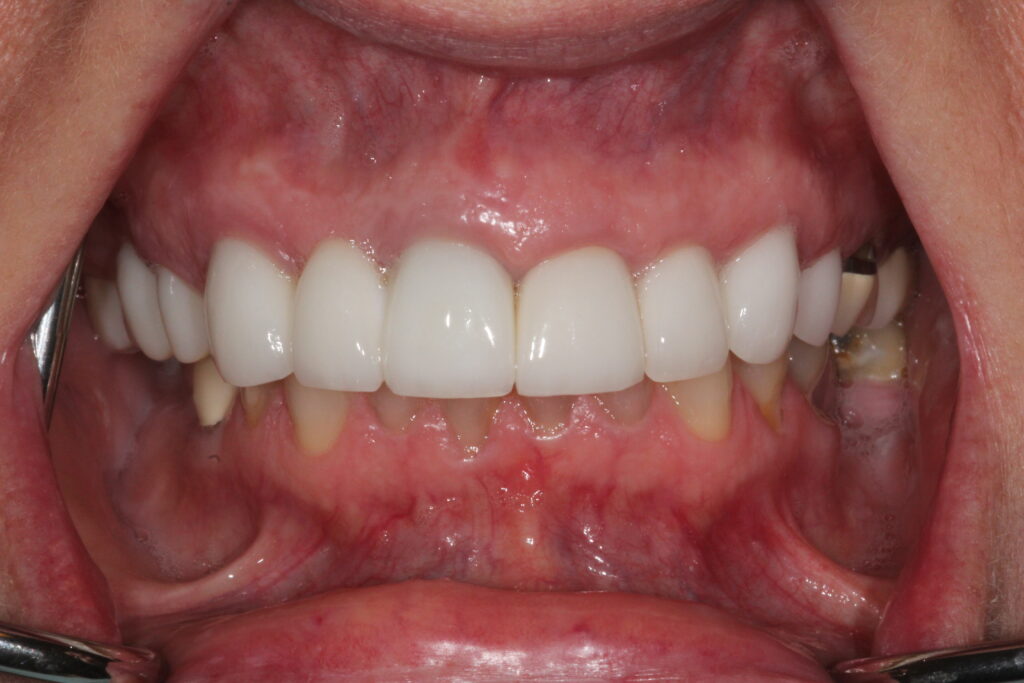
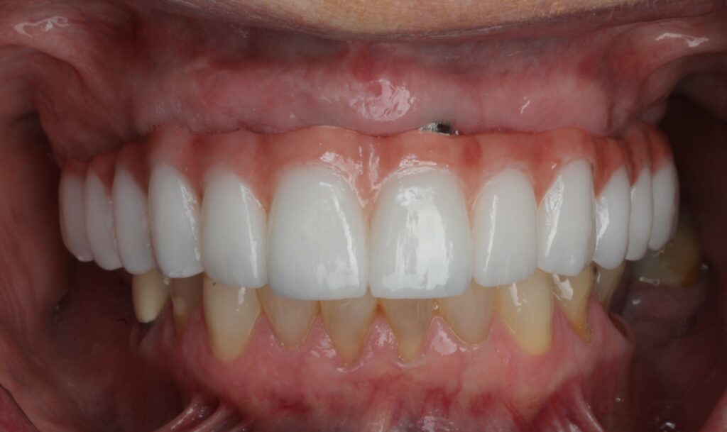
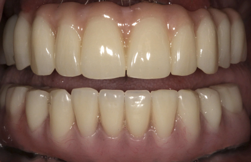
We like to call them a fixed full arch implant bridge, because their appearance is similar to that of a bridge and cannot be removed without us unscrewing them. The idea is that they are teeth securely anchored to the person’s jaw bone with dental implants.
A fixed full arch implant bridge is the best option for those patients who have lost or are losing their natural teeth in either both the upper and lower jaw, yet would like to wear well fitted, natural-looking prosthetic teeth that are non-removable. You can also see our All-on-4® dental implant treatment section.
A fixed full arch implant bridge consists of placing four or more implants in the lower or upper jaw followed by attaching a temporary bridge. Then, after several months of healing, a final bridge is put in a person’s mouth.
Many times a temporary fixed implant bridge, also known as an immediate fixed denture, can be placed the same day the natural teeth are extracted and the implants placed. This means you go home with teeth before leaving our office. And later you will get a “final” fixed bridge. But you will never be without teeth.
Notes:
Through advancements in dental technology, a fixed full arch implant bridge is the most natural looking teeth that also maintain a person’s optimal quality of life.
If you’re interested in how we can give a person a fixed full arch implant bridge on only 4 implants, see our comprehensive article on the All-on-4® dental treatment.
Below you can see examples of All-on-4® completed here are NC Prosthodontic Specialists…
Conventional Fixed Denture
Titanium bar with denture acrylic teeth
Contemporary Zirconia Bridge
Porcelain-like material with strength that is similar to metal

Come into our office to discuss if Fixed Full Arch Implant Bridge (All on 4®) is the right treatment for your unique situation.